35enne supera la battaglia contro un tumore grande come un cocomero dopo il Covid: «Recupero miracoloso» al Gemelli
Una giovane donna di 35 anni ha superato con successo l’asportazione di un raro tumore grande quanto un cocomero grazie a un intervento congiunto delle équipe di chirurgia toracica e cardiochirurgia del Policlinico Gemelli. Il tumore, un timoma, è stato scoperto dopo che la paziente ha manifestato peggioramento delle condizioni respiratorie dopo aver contratto il Covid-19. Dopo cicli fallimentari di chemioterapia e radioterapia presso altri centri, la donna è stata operata al Gemelli in un intervento record durato più di 6 ore. Il tumore era fortemente adeso al polmone sinistro, al pericardio e ai grandi vasi toracici, implicando rischi elevati ma il recupero post-operatorio è stato eccellente.
Il miracolo di Sara: tumore asportato con successo al Gemelli
Una giovane donna di 35 anni si è sottoposta a un intervento congiunto delle équipe di chirurgia toracica e cardiochirurgia della Fondazione Policlinico Universitario Agostino Gemelli Irccs per asportare un raro tumore grande quanto un cocomero. Il timoma, che occupava l’intera metà sinistra del torace, è stato rimosso con successo, avvolgendo il cuore e i principali vasi sanguigni.
Dopo aver contratto il Covid-19, Sara ha notato un peggioramento delle sue condizioni respiratorie e si è sottoposta a una radiografia del torace, che ha rivelato la presenza di una massa voluminosa. Successive indagini hanno confermato il timoma, un tumore del timo che solitamente insorge in età adulta.
Dopo cicli di chemioterapia e radioterapia senza successo, Sara ha consultato diversi oncologi in Italia prima di approdare al Gemelli, dove è stata sottoposta a un intervento record durato 6 ore. La massa, fortemente adesa al polmone sinistro, al pericardio e ai grandi vasi toracici, è stata rimossa con successo, nonostante i rischi elevati dell’operazione.
Il professor Stefano Margaritora, responsabile della chirurgia toracica, ha sottolineato la complessità del caso e l’eccellente recupero post-operatorio della paziente. Il miracoloso intervento ha permesso a Sara di superare con successo la difficile sfida del tumore al timo.
Record mondiale: Rimozione di un timoma gigante in una giovane donna
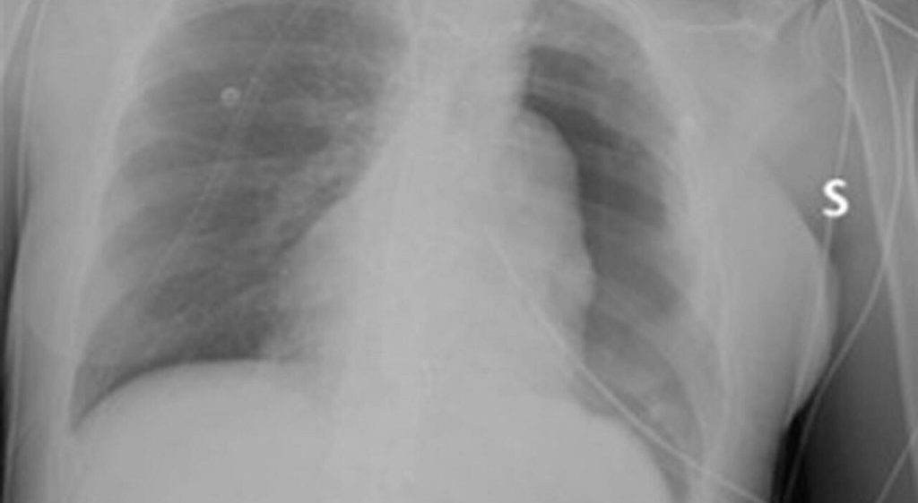
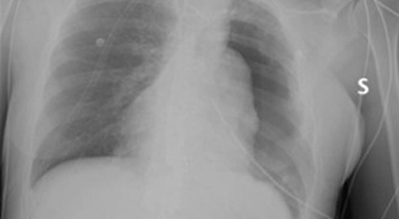
Una raro tumore, una neoplasia grande quanto un cocomero, è stato asportato da una giovane donna di 35 anni grazie a un intervento congiunto delle équipe di chirurgia toracica e cardiochirurgia della Fondazione Policlinico Universitario Agostino Gemelli Irccs. Il tumore, un timoma, occupava l’intera metà sinistra del torace, avvolgendo il cuore e i principali vasi sanguigni, tra cui l’aorta e l’arco aortico, nonché le vene polmonari. La donna, madre di un bambino di dieci anni, ha superato con successo l’operazione.
Il timoma scoperto dopo l’infezione da Covid-19
Sara (nome di fantasia) in seguito a un’infezione da Covid-19, notando un peggioramento delle sue condizioni respiratorie, affanno soprattutto da sforzo, dolore nella parte sinistra del torace, tosse secca stizzosa da tempo, si sottopone a una radiografia del torace. «La giovane donna presentava una massa molto voluminosa, che occupava tutta la parte centrale e la metà sinistra del torace», ricorda Maria Letizia Vita, dirigente medico presso la Uoc di Chirurgia toracica del Policlinico Gemelli.
Viene subito richiesto un approfondimento Tac che pone il sospetto di una grande neoplasia del timo, cioè di un timoma, confermato da una biopsia chirurgica», aggiunge. Il timo è un piccolo organo del sistema immunitario implicato nella produzione dei linfociti T; presente in età infantile, di norma si atrofizza con la crescita. Il timoma è inoltre un tumore del timo, che tipicamente insorge in età adulta, tra i 40-70 anni, mentre è raro nei bambini.
Il miracolo di Sara al Gemelli
Sara comincia a consultare vari oncologi in Italia e tutti escludono l’intervento chirurgico viste le dimensioni del tumore; si affida alla fine a un centro di Roma, dove viene sottoposta a cicli di chemioterapia e di radioterapia. Purtroppo, senza un reale miglioramento, al punto che i medici le comunicano la necessità di interrompere quel trattamento che non aveva dato i risultati sperati. Ma Sara non si dà per vinta e riprende a consultare chirurghi in giro per l’Italia. Finché approda al Gemelli. «Qui al Gemelli sono nata due volte: la prima 35 anni fa, la seconda oggi», ha commentato Sara al risveglio dall’intervento.
Intervento record: l’operazione durata 6 ore
«Il suo era un caso davvero molto complesso perché il timoma, delle dimensioni di un’anguria era fortemente adeso al polmone sinistro, al pericardio (il ‘sacchetto’ che riveste il cuore) e ai grandi vasi toracici», spiega Vita. Il gruppo della chirurgia toracica del professor Stefano Margaritora discute l’eventuale intervento insieme all’équipe di cardiochirurgia, diretta dal professor Massimo Massetti, per un accurato planning pre-operatorio. Alla fine, si decide di tentare l’operazione, gravata di rischi elevati.
«La massa occupava completamente l’emitorace sinistro, era fortemente adesa alla pleura parietale e inglobava l’atrio sinistro con le vene polmonari e l’arco aortico, Il polmone sinistro era completamente escluso e la massa comprimeva il cuore», ricorda il professor Stefano Margaritora, Ordinario di chirurgia Toracica all’Università Cattolica del Sacro Cuore. «Per l’estensione della neoplasia siamo dovuti ricorrere all’approccio chirurgico riservato agli interventi di cardiochirurgia maggiore, cioè attraverso una sterno- toracotomia sinistra». Margaritora conclude che «l’intervento è durato oltre 6 ore. Il recupero post-operatorio della paziente è stato eccellente».
Ultimo aggiornamento: Martedì 28 Gennaio 2025, 12:57
© RIPRODUZIONE RISERVATA
Non perderti tutte le notizie della categoria risparmio su Blog.it
